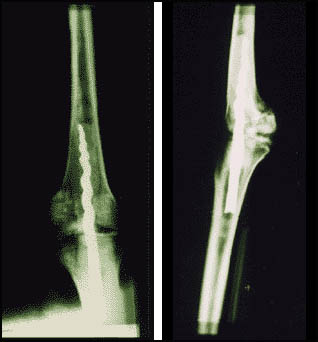
Nell'agosto 1995, il Dr. Wilfred Griggs guidò un team di ricercatori della Brigham Young University, che stavano conducendo la ricerca del DNA su sei mummie del Museo. Durante la ricerca, una radiografia rivelò un perno di metallo nella gamba sinistra di Usermontu. In un primo momento il dottor Griggs pensò che la vite "dovesse essere un recente tentativo di riparare la mummia, forse non più di 100 anni fa. Quando l'abbiamo vista ai raggi X nel mese di agosto, ho pensato che non avevo mai visto qualcosa di simile, fatto in epoca moderna. Non mi è venuto in mente in quel momento che ci potesse essere nulla di questo tipo d'intervento fatto in epoca antica ". continua Griggs.
[foto 1] Nel loro studio in corso sul DNA della mummia, un gruppo di ricercatori della Brigham Young University - guidato dallo studioso di antichi studi Dr. Wilfred Griggs (a sinistra) e dal microbiologo Dr. Scott Woodward (secondo da sinistra) - esamina una mummia al Rosicrucian Egyptian Museum a San Jose, California.
Così, affascinato dalle possibilità di questa scoperta, nel novembre il Dr. Griggs ritornò al Museo, una sera, a dare un'occhiata più da vicino. Dopo circa 30 minuti di osservazione da vicino della gamba, il Dr. Griggs si convinse che il perno fosse molto più vecchio di quanto lui previsto, ed era così eccitato che pensò valesse la pena di un'ulteriore indagine su scala reale.
"Fu come se il soffitto cadesse su di me e cominciai a mettere in discussione tutto quello che stavamo vedendo. E in quel momento che sapevo che avrei avuto bisogno di tornare a capire il mistero davanti a noi", ha detto Griggs.
L'8 febbraio 1996, il Dr. Griggs ritornò con specialisti per determinare se questo fosse il primo tentativo di intervento chirurgico al ginocchio antico mai scoperto. E con nostra sorpresa, non vi è alcun dubbio che si tratti sicuramente di un'operazione antica. Mai prima d'ora una mummia egizia aveva mostrato una tale caratteristica.
Il Dr. Griggs e il suo seguito di ricercatori della Brigham Young University erano essi stessi sorpresi per le implicazioni storiche di questo perno metallico. Le prime conclusioni suscitavano domande provocatorie per quanto riguarda l'esatta funzione e la natura del perno. Era stato inserito mentre l'uomo era ancora in vita o appena dopo la sua morte? Poteva essere stato messo nel ginocchio a causa di una sorta di trauma?
Fino ad oggi, sappiamo che la composizione metallica del perno a vite è costituit< da ferro puro, e che è stato messo prima che Usermontu fosse mummificato. Ciò corrisponde con il periodo di tempo accettato per la vita di Usermontu (ca. 630 a.C.) durante l'età del ferro in Egitto.
La procedura di perforazione per estrarre il materiale dalla parte posteriore del ginocchio di Usermontu era di per sé sorprendente. Dave McCann, che ha fatto la perforazione, ha detto che la punta di trapano doveva avere un movimento veloce come 75.000 giri / min. Così preciso e delicato è il trapano che si potrebbe creare un buco minuscolo su un guscio d'uovo.
In seguito alla perforazione, i ricercatori sono stati in grado d'inserire una piccola sonda per guardare dentro la gamba e avere un campione del perno, così come vedere una colla, come una resina che lo avvolgeva, probabilmente utilizzata per cementare la vite in posizione.
Non solo i ricercatori sistupirono che il perno potesse essere antico, ma anche che il suo disegno fosse di tipo molto avanzato, dal punto divista dei chirurghi in visita.
"Il perno è simile ai progetti stessi che usiamo oggi per ottenere una buona stabilizzazione delle ossa", ha dichiarato il Dr. Richard Jackson, chirurgo ortopedico del BYU.
A quanto pare, gli antichi sapevano come usare le flange su una vite per stabilizzare la rotazione della gamba.
Il ginocchio è una delle articolazioni più complesse nel corpo umano. Esso deve sostenere il peso di tutto il corpo e deve sopportare impatti ripetuti dal fatto di camminare e correre. Al lavoro, deve sopportare i carichi più pesanti.
Il moserno intervento di sostituzione del ginocchio [destra] utilizza prodotti Hi-tech per mantenere la flessibilità e il peso-cuscinetto. Ma gli antichi non avevano questa tecnologia. Un cedimento del ginocchio significherebbe che il paziente sarebbe stato costretto al letto o su una sedia e probabilmente avrebbe dovuto sopportare un dolore grave se la connessione avesse subito uno spostamento. Il rimedio più efficace era quello di bloccare il giunto, come è stato fatto per Usermontu. Questo intervento avrebbe permesso al paziente di camminare con un bastone e avrebbe impedito il dolore continuo.
Poiché i ricercatori continuano a studiare i risultati, vi terremo informati. Più impariamo su questa mummia affascinante, tanto più ci rendiamo conto che doveva essere una persona molto importante non solo per essere mummificata con tanta cura e professionalità, ma anche per il fatto di avere un perno di metallo potenzialmente costoso messo in una gamba.
In un certo senso, attraverso questa scoperta Usermontu ha raggiunto l'immortalità. Il Dr. Griggs ha spiegato: "Questo uomo ha una storia da raccontare ed è ora raccontata attraverso piccoli frammenti e pezzi di tessuto. Dobbiamo solo continuare ad aggiungere i pezzi del puzzle."
"Devo dare agli antichi un sacco di credito per quello che hanno fatto", ha aggiunto il Dr. Griggs.
di Michael A. Cremo, Richard L. Thompson2. Archeologia Misterica
di Luc Bürgin3. Archeologia dell'impossibile
di Volterri Roberto4. Archeologia eretica
di Luc Bürgin5. Il libro degli antichi misteri
di Reinhard Habeck6. Rennes-le-Château e il mistero dell'abbazia di Carol
di Roberto Volterri, Alessandro Piana7. Il mistero delle piramidi lombarde
di Vincenzo Di Gregorio8. Le dee viventi
di Marija Gimbutas9. Come ho trovato l'arca di Noè
di Angelo Palego10. Navi e marinai dell'antichità
di Lionel Casson
ARCHEOLOGIA BIBLICA
ECCEZIONALE RITROVAMENTO IN UN TUNNEL SEGRETO IN MESSICOARCHEOLOGIA BIBLICA
CIMITERO DI ANFORE IN DUE NAVI ROMANE NELLE EOLIEARCHEOLOGIA BIBLICA
SCOPERTI VASI DI ARGILLA CRUDI A POMPEIPALEONTOLOGIA
IL GIGANTE DI ATACAMA: UN ALTRO GEOGLIFO CHE SFIDA LA NOSTRA COMPRENSIONE DEL PASSATOARCHEOLOGIA BIBLICA
TROVATA AD ORVIETO LA TESTA DEL DIO DEGLI ETRUSCHIPALEONTOLOGIA
IL MISTERO DELLE TORRI SEGRETE DELL'HIMALAYAARCHEOLOGIA BIBLICA
UNO SCAVO ILLEGALE SCOPRE UN TEMPIO DI THUTMOSE IIIPALEONTOLOGIA
LA BUFALA CHE GESU' FU PADRE E MARITOPALEONTOLOGIA
IL "SEME MAGNETICO" CHE DIEDE VIA ALLA VITA VEGETALE SULLA TERRAPALEONTOLOGIA
TRAPPOLE PER DEMONI SCOPERTE IN INGHILTERRA













