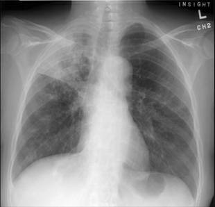
Scoperto il piu' antico caso di tubercolosi in scheletri di oltre 7.000 anni.
La ricerca è stata pubblicata in questi giorni sulla rivista PLoS One, da Muriel Masso e colleghi dell'università di Szeged.
Questa malattia è chiamata ipertrofica polmonare osteopatia ed è caratterizzata da simmetrici nuove formazioni ossee sulle ossa lunghe. Sulla base della documentazione archeologica, è stato suggerito che la tubercolosi potrebbe aver causato un'epidemia migliaia di anni fa.
In questo studio, gli autori hanno esaminato settantuno scheletri umani da un sito di 7000 anni, nel sud dell'Ungheria. Hanno scoperto numerosi casi di infezioni e malattie metaboliche, e alcuni scheletri mostravano segni di tubercolosi. Si sono concentrati su uno scheletro, in particolare per verificare questa ipotesi, e hanno analizzato il DNA antico e lipidi dalle sue ossa. Entrambi i test hanno confermato la presenza del complesso batterico associato alla tubercolosi.
Questo è uno dei primi casi noti di tubercolosi scoperti fino ad oggi, e aiuta a fare luce su questa comunità europea in epoca preistorica.
di Michael A. Cremo, Richard L. Thompson2. Archeologia Misterica
di Luc Bürgin3. Archeologia dell'impossibile
di Volterri Roberto4. Archeologia eretica
di Luc Bürgin5. Il libro degli antichi misteri
di Reinhard Habeck6. Rennes-le-Château e il mistero dell'abbazia di Carol
di Roberto Volterri, Alessandro Piana7. Il mistero delle piramidi lombarde
di Vincenzo Di Gregorio8. Le dee viventi
di Marija Gimbutas9. Come ho trovato l'arca di Noè
di Angelo Palego10. Navi e marinai dell'antichità
di Lionel Casson
ARCHEOLOGIA BIBLICA
ECCEZIONALE RITROVAMENTO IN UN TUNNEL SEGRETO IN MESSICOARCHEOLOGIA BIBLICA
CIMITERO DI ANFORE IN DUE NAVI ROMANE NELLE EOLIEARCHEOLOGIA BIBLICA
SCOPERTI VASI DI ARGILLA CRUDI A POMPEIPALEONTOLOGIA
IL GIGANTE DI ATACAMA: UN ALTRO GEOGLIFO CHE SFIDA LA NOSTRA COMPRENSIONE DEL PASSATOARCHEOLOGIA BIBLICA
TROVATA AD ORVIETO LA TESTA DEL DIO DEGLI ETRUSCHIPALEONTOLOGIA
IL MISTERO DELLE TORRI SEGRETE DELL'HIMALAYAARCHEOLOGIA BIBLICA
UNO SCAVO ILLEGALE SCOPRE UN TEMPIO DI THUTMOSE IIIPALEONTOLOGIA
LA BUFALA CHE GESU' FU PADRE E MARITOPALEONTOLOGIA
IL "SEME MAGNETICO" CHE DIEDE VIA ALLA VITA VEGETALE SULLA TERRAPALEONTOLOGIA
TRAPPOLE PER DEMONI SCOPERTE IN INGHILTERRA













